疼痛科专家有妙招 联合技术应用显疗效——“颈源性头痛”
信息来源:昭通市第一人民医院发布时间:2023-08-17阅读数:10868作者:昭通市第一人民医院
病例分享:
疼痛科团队,采用可视化技术在肌骨超声的引导下将消炎镇痛液注入脊神经后内侧支或第二颈椎背根神经节周围对其进行选择性阻滞。通过一次肌骨超声引导的注射治疗,患者头痛和颈肩部疼痛明显减轻、术后颈部僵硬情况即刻得到明显缓解。(供稿:疼痛科 崔家平)

超声可视化精准治疗 (上图)
体外冲击波治疗技术(下图)
1、什么是颈源性头痛?
2、颈源性头痛是怎么引起的?

颈源性头痛是一种由颈椎和颈椎周围软组织所引起来的慢性疼痛综合征,这种综合征是由器质性或者是功能性病变所导致,它是一种临床上常疾病。其主要原因有以下几点:
3、颈源性头痛哪些特征?
4、哪些人群容易患颈源性头痛?
5、颈源性头痛的治疗手段有哪些?
6、超声可视化技术治疗的优势在那些方面?

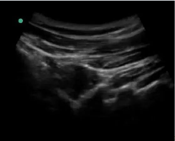
超声扫查的脊神经位置

第二颈椎脊神经的超声显示图像
7、体外冲击波治疗哪些疾病比较有优势?
8、联合应用技术的优势有哪些?
